Volumescope 2 SEM
Environmental scanning electron microscope (ESEM) for the study of materials in their natural state.3D SEM for large volume samples with serial block face imaging and multi energy deconvolution.
Volumescope 2 Scanning Electron Microscope for serial block face imaging
The Thermo Scientific Volumescope 2 Scanning Electron Microscope (SEM) is our state-of-the-art serial block-face imaging system. Keep control of experiments with easy to use technology and protect a wide range of possible samples with tried and tested solutions for every acquisition step.
REQUEST A QUOTE / ENQUIRY FORM
Features
Block face imaging
Unraveling the complex 3D architecture of cells and tissues in their natural context is crucial for structure-function correlation in biological systems and soft materials. Serial block-face SEM (SBF-SEM) combines in situ sectioning and imaging of plastic-embedded tissue blocks within the SEM vacuum chamber for automated, 3D reconstruction of large tissue volumes. Axial resolution was once limited by the minimum section thickness, but truly isotropic resolution is now possible with the addition of multi-energy deconvolution.
3D SEM
Following in situ sectioning of the block-face using a diamond knife, the freshly exposed tissue is imaged several times using increasing accelerating voltages. These images are subsequently used in a deconvolution algorithm to derive several optical subsurface layers, forming a 3D subset. By repeating this cycle, the Volumescope 2 SEM offers isotropic datasets with 10 nm Z-resolution.
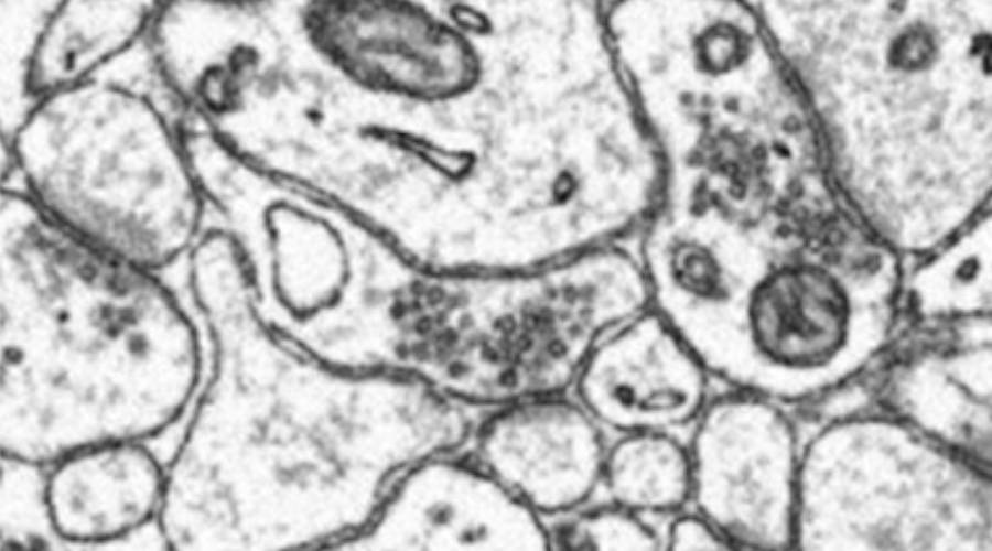
Mouse brain sample imaged on the Volumescope 2 SEM. Fine features such as vesicles and synaptic clefts can be observed. Image courtesy of Dr. Gabor Nyiri, Institute of Experimental Medicine, Budapest, Hungary.
Volume reconstruction of a mouse heart muscle. Data acquired by a combination of physical and virtual slicing in high vacuum mode. Volume = 16 x 15 x 11 μm3 with a nominal resolution of 5 x 5 x 10 nm. Specimen courtesy of Dr. Madesh Muniswamy, Temple University, USA.
Polymer microstructures
For understanding the microstructure and properties of polymers, high-resolution 3D imaging is crucial. The Volumescope 2 SEM automates in situ sectioning and imaging within the SEM vacuum chamber, enabling the reconstruction of large volumes with isotropic 3D resolution. Visualizing such volumes reveals how varying microstructures influence overall material properties. For example, it can recreate a representative volume of a filtration membrane, providing accurate transport properties for enhanced filter design predictions.
Serial block-face 3D imaging of a polymer blend sample. Here, the 3D volume reconstruction of the complete dataset (122 μm x 122 μm x 10 μm) is shown, with a segmented region inset revealing the particle distribution in the matrix. Sample courtesy of Dr. Armin Zankel (FELMI-ZFE Graz, Austria).
Easy to use technology
Keep control of experiments with easy to use technology. Reuse jobs and system settings and select multiple regions of interest during job acquisition.
Protect valuable samples
Protect valuable samples with tested solutions at every acquisition step: debris trap and swipe features ensure sample quality; low vacuum detector enables imaging of highly charged samples.
Protect valuable samples
Protect valuable samples with tested solutions at every acquisition step: debris trap and swipe features ensure sample quality; low vacuum detector enables imaging of highly charged samples.
Visualize and navigate during acquisition
Visualize and navigate during acquisition with Thermo Scientific Amira Live Tracker Software to optimize/control your outcome/Automate large 3D volume acquisitions as well as reconstructions.
Easy and fast mounting microtome exchange
Easy and fast mounting microtome exchange for normal SEM operation or automated array tomography with the addition of Thermo Scientific Maps Software.
SCANNING ELECTRON MICROSCOPES (FLOOR MODEL)
SCANNING ELECTRON MICROSCOPES (FLOOR MODEL)
Menu
